四川新闻网-首屏新闻
2025年1月,乐山市五通桥区人民医院外一科完成五通桥区首例股骨颈骨折闭合复位FNS内固定手术,这标志着乐山市五通桥区人民医院骨科股骨颈骨折手术又新增一项内固定技术,治疗水平迈向新高度。
患者王某因右股骨颈骨折(头下型)入院,术前X片和三维CT精准检查,为手术方案提供依据。股骨颈骨折,尤其是头下型骨折治疗难度大。此次采用的股骨颈动力交叉钉系统(FNS)是保髋内固定新技术,优势显著。在C臂透视和骨科牵引床辅助下,医生通过小切口就完成闭合复位和内植物置入,实现骨折端有效固定。相比传统空心螺钉固定,FNS可滑动加压促进骨折愈合,提供成角稳定性,抗内翻并保证支撑强度,防退钉和股骨头切出,患者也能早期不负重功能锻炼,减少并发症。
![]() |
术前X片以及术前三维CT
患者王某年仅44岁,骨质状况良好,徐典康副主任医师经过科室团队讨论,评估潜在风险,排除手术禁忌后,决定采用FNS为其实施“保头”手术。手术中,徐典康医师精准操作,顺利完成FNS内固定手术。术后效果理想,骨折对位对线良好,切口小,固定牢固。术后当天患者就能在床上行患肢功能锻炼,1周后可坐床边锻炼,复查X片显示骨折复位、FNS固定良好,后续已康复出院。
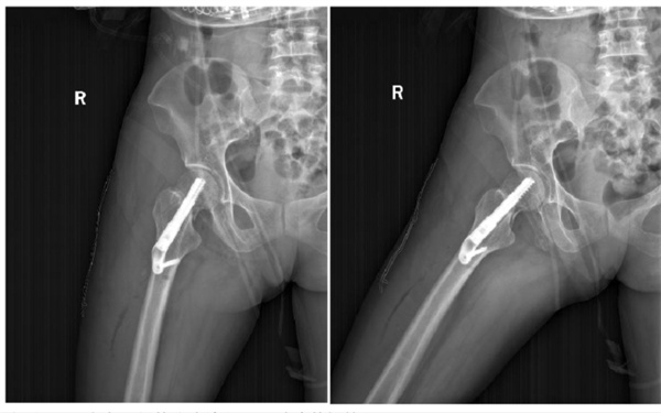
![]() |
术后X片,骨折已完全复位,FNS固定稳妥
此次手术成功,为患者带来康复希望,也为医院积累宝贵经验。该手术损伤小、固定牢靠,加速骨折愈合,标志着医院骨科在创伤骨科微创领域走在前沿。
未来,随着FNS等新技术推广,将有更多股骨颈骨折患者受益,有更多的内固定选择。这一成果激励医院医疗工作者探索创新,推动医疗技术进步,为患者提供更优质的医疗服务。(图文由乐山市五通桥区人民医院提供)

